矯正治療について
個々に合った正常な
咬み合わせの獲得
咬み合わせや見た目など気になっていることは人それぞれ違うかと思います。矯正治療の種類はいろいろあり、費用も様々です。患者様が気になっている箇所に関して治療内容、費用等いちばん合ったものを相談させて頂きます。
また、自分自身の歯を削らずにきれいな歯並び、咬み合わせを獲得できるというのが矯正治療の良さです。

当院の矯正歯科の特徴
-
- 個々に合った正常な咬み合わせの獲得
-
- 審美性の改善
-
- 乳歯から永久歯への生え変わりを正常に誘導する
矯正治療メニュー
-
- 大人の矯正(ワイヤー矯正、マウスピース矯正)
-
- 小児矯正
-
- 部分矯正
矯正歯科でよくある質問
矯正歯科のカウンセリング内容は口腔診査、問題点の提示、治療方針・流れ・料金の説明を含めます。
矯正歯科の所用時間は30分です。
「矯正治療の症例」を
詳しく見る
大人の矯正(ワイヤー矯正)
について
当院の大人の矯正の特徴は個人個人に合った正しい歯並び、咬み合わせを作り、審美性の改善を行います。

大人矯正の
メリット・デメリット
大人矯正のメリット
- 歯を削ることなく、自分の歯できれいな歯並び咬み合わせを作ることができる
- 歯ブラシがしやすくなり、虫歯や歯周病になりにくくなる
大人矯正のデメリット
- 治療中は歯ブラシがしにくくなる
- 通院が必要
歯並びの乱れによる
身体のトラブル
- 見た目が悪い
- 歯周病になりやすい
- 虫歯になりやすい
- 口臭がする
- 食べ物が消化しにくい
矯正治療中に気をつけること
-
- 虫歯
治療中は歯ブラシがしにくくなるため、病院での定期的なクリーニングやホームケアが大切となります。 -
- クリーニング
矯正治療中は器具により清掃しにくくなります。そのため、矯正中に適した歯ブラシの仕方などをお話し、病院でのクリーニングだけでなくホームケアもしっかり行って頂く必要があります。 -
- 生活習慣
食事内容の注意(硬いもの、粘着性の強いもの)や激しいスポーツ(コンタクトスポーツ)はなるべく控えてください。
大人矯正治療の流れ
-
- 初診相談
-
- 検査
-
- 診断
-
- 治療開始
-
- 保定
大人の矯正でよくある質問
年齢制限は特にありません。若年者の方が歯の動きは早いです。
小児矯正について
小児矯正は歯並びを整え、今後虫歯や歯周病の可能性を下げることができます。それだけでなく、顎の正しい発育を促すことによって咀嚼や骨格なども誘導することが可能です。成長期だからこそ出来る治療があります。

小児矯正の
メリット・デメリット
小児矯正のメリット
- 歯の生え変わりを正しい方向へ誘導する
- 顎の骨の位置関係を改善できる
- 奥歯の正しい関係を構築できる
小児矯正のデメリット
- 治療中は歯ブラシがしにくい
- 通院が必要
小児矯正治療の流れ
-
- 初診相談
-
- 検査
-
- 診断
-
- 治療開始
-
- 経過観察(生え変わり、顎骨成長)
小児矯正でよくある質問
小児矯正の適した年齢は7、8歳くらいです。
小児矯正の治療期間は3年程度です。
歯並びが軽度のでこぼこ。
時間がかかるケースは見た目だけでなく機能的に問題があるケース。
マウスピース矯正について
見た目にわかりにくく、通常の矯正装置と異なり、外すことができるので歯ブラシがしやすいのが特徴です。

マウスピース矯正の
特徴について
- 審美的な矯正装置
- 1日20時間以上の着用
部分矯正について
気になる部分だけ治したい
気になる部分だけ治すことが可能です。また、虫歯が深くて本来であれば残すことができないような歯を部分矯正によって、再度使えるようにすることが可能です。
歯並びだけでなく様々なケースに用いることができます。

「部分矯正」を
詳しく見る
矯正治療の症例
case 1.
治療前
矯正前の写真です。前歯にがたつきがあります。
治療中①
矯正装置をsetしました。こちらで様子をみていきます。
治療中②
装置除去前の写真です。術前に比べると歯が整ってきました。
治療後
術後の写真になります。後戻りしないように固定をします。
| 主訴 | 前歯が気になる |
|---|---|
| 治療期間 | 約3ヶ月 |
| 治療費 | 25万(税抜) |
| 治療内容 | 部分矯正 |
| 治療の リスク |
治療中は清掃しにくいため 虫歯になりやすい |
case 2.
治療前
治療中
治療後
治療前
治療中
治療後
治療前
治療中
治療後
| 主訴 | 歯並びが気になる |
|---|---|
| 治療期間 | 7ヶ月 |
| 治療費 | 50万(税抜) |
| 治療内容 | 部分矯正 |
| 治療の リスク |
治療中は清掃しにくいため 虫歯になりやすい |
case 3.
治療前
治療中
治療後
| 主訴 | かぶせ物の中で深くなってしまった虫歯を治したい |
|---|---|
| 治療期間 | 約3ヶ月 |
| 治療費 | 5万(税抜) |
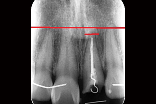
| 治療内容 | エクストリュージョン 深くなってしまった虫歯や割れてしまった歯など、本来抜かなければいけない歯を部分矯正によって、残すことができる。 |
| 治療の リスク |
歯が揺れてしまう可能性 |
case 4.
治療前
治療後
治療前
治療後
治療前
治療後
治療前
治療後
治療前
治療後
| 主訴 | 歯並びが気になる |
|---|---|
| 治療期間 | 3年 |
| 治療内容 | 矯正治療 |
case 5.
治療前
治療後
治療前
治療後
| 主訴 | 歯並び気になる |
|---|---|
| 治療期間 | 4カ月 |
| 治療内容 | 下顎部分矯正+抜歯 |
関連するページ
「矯正治療の症例」を
詳しく見る
このページの著者
三軒茶屋マーレ歯科 院長
多田 海人 (ただ かいと)

所属学会・専門認定
- ・日本口腔外科学会 認定医 取得
- ・顎咬合学会 かみ合わせ認定医 取得
この度、三軒茶屋にて、三軒茶屋マーレ歯科を開院することとなりましたので、謹んでご挨拶申し上げます。
当院では『痛みの少ない丁寧な治療』『丁寧な説明を重視』しております。患者様はそれぞれ違う価値観を持ち、求めているものも違うため個人に合った最終ゴールがあるかと思います。
そのため当院では、様々な治療を提案させて頂き、メリットデメリットを理解して頂いた上で患者様に一番合った治療法を一緒に見つけて行きたいと思っております。また、お口のなかを虫歯だけ、歯周病だけというような部分的に見ていくのではなく包括的に診察することで、より健康的な口腔内環境を作っていきたいと考えております。
そして、院内では滅菌レベルを最高のものにすることで安心して清潔な治療を受けて頂ける環境作りをしております。なにかお困りなこと、気になること等ありましたらお気軽にご相談下さい。

