インプラント治療とは
失った歯を補う
“噛める”インプラント治療
人工歯根を顎の骨に植えて、失くした歯を取り戻す方法のことです。最大の長所は、無くした歯の負担を、残っている健全な歯にかけないで済むことです。欠点としては、簡単な外科手術を行わなければならないこと、自由診療のためお金がかかることです。
当医院ではインプラントを予防の一環としてとらえています。失った歯をインプラントで補うことにより、さらなる欠損を予防するからです。
インプラントをご検討中の方へ
インプラントが決して全てではありません。
失った歯を補う治療法には、主に3つの選択肢があります。
患者様のご希望をベースに、生活習慣、かみ合わせの状況、全身状態その他医学的な見地を考慮した上で、失った歯の機能をどう回復するか治療計画を立てます。
それぞれの治療法にメリット・デメリットがありますので、よく説明・相談のうえ、一緒に検討していきましょう。
インプラントは誰でも受けられる?
条件さえ満たされれば、どなたでも受けられる治療です。
インプラント治療が受けられるかは「全身の問題」と「お口の中の問題」の両方から判断していきます。
全身的な問題では、糖尿病や血液疾患、心疾患などがあげられます。インプラントに必要な外科処置を行う際に問題となる疾患がある方は主治医の先生としっかり相談し、慎重な対応が必要となります。また、骨粗しょう症治療中の方でビスフォスホネート系等のお薬を内服されている方も考慮が必要です。
お口の中の問題では、インプラントは人工的な根を骨の中に埋める治療ですので、骨の量が十分でないと安全に行えません。症例によっては骨の移植が必要な場合があります。また、歯周病や歯ぎしりなどインプラントにとってリスクとなるものに関しては、治療前の前処置が重要となっていきます。
当院のインプラント治療の特徴
ストローマン
インプラントの使用
当院では世界シェアNo.1のストローマンのインプラントを使用しております。インプラント治療は体内に金属を埋める治療ですので、より安心安全な材料が良いと考えております。
メーカーによってパーツも異なるため、会社が無くなってしまうとインプラントに必要なパーツが手に入らなくなってしまいます。
ストローマンインプラントは、長期的な安全性を示す豊富なエビデンスにより、世界中で高い信頼を得て、国際的非営利学術組織であるITI(International Team for Implantology)の協力によって、学術的に検証された製品を提供しています。
ガイドシステムの使用
ガイドシステムとは、CT撮影で得られた画像でインプラントの埋入シミュレーションを行ない、そのシミュレーションどおりに手術を行えるようにするシステムです。
そのため、ガイドを使用しないと難しいような症例もより安全で正確なインプラント手術が行えます。
CT
当院ではCTを導入しております。そのため、インプラント治療に必要な情報も3次元的に得ることができ、安全で正確な治療を行うことができます。
当院の痛みへの配慮
表面麻酔 | 歯茎に麻酔の注射前に表面麻酔を塗布することで、注射の針を刺す痛みを軽減することができます。 |
---|---|
電動麻酔器 | コンピューター制御により麻酔の注入スピードと余計な圧力がコントロールされ、注射時の痛みが最小限で済みます。 |
細い針 | 極細の針を使うことにより痛みを軽減します。 |
歯の治療が痛いのではないかと
不安に感じていませんか?
不安なお気持ちに寄り添いながら、できるだけ痛みに配慮した治療を行っています。

「痛みへの配慮」を
詳しく見る
治療法の比較
インプラント差し歯と
入れ歯の治療法の違い
インプラントはご自身の歯を失ってしまい、歯がない部分に人工の根を骨の中に埋入し、咬めるようにする治療です。
差し歯はご自身の歯(根)は残っており、その歯にかぶせ物をすることで使えるようにします。
入れ歯は失ってしまった歯の部分に取り外し式の装置を入れます。周りに自分の歯が残っていれば、その歯にバネをかけて使って頂きます。
インプラント
メリット |
|
---|---|
デメリット |
|
ブリッジ
メリット |
|
---|---|
デメリット |
|
入れ歯
メリット |
|
---|---|
デメリット |
|
インプラントの寿命について
インプラントのもちについて
インプラントは他の治療法に比べ、かなり長期間使用できると言われています。インプラントの平均寿命は、10年から15年となってきています。もちろんなかには20年、35年と長期に渡って問題なく使用できるケースもあります。
インプラントがダメになってしまう理由はインプラント周囲炎によるものです。
インプラント周囲炎とはインプラント周囲に炎症が起こり、歯周病に感染した状態を言います。インプラントは炎症への抵抗力が低いため、歯周病を引き起こすと天然歯に比べ進行しやすくなってしまいます。
また、長期に使用するためには定期的なメインテナンスと歯ブラシによるホームケアが必要となってきます。メインテナンスではレントゲンによるチェック、クリーニング、ブラッシング指導を行います。
また、ブラッシング指導をもとにホームケアをしっかり行って頂くことで、インプラント周囲炎を予防していきます。
上部構造 | 5年 |
---|---|
インプラント | 10年 |
当院では定期検診に通っていただいた場合のみ、保証を適用させて頂きます。
また、下記のような場合では、この保証期間内であっても再治療費・修理を有償とさせて頂きますので、あらかじめご了承ください。
- 1.当院からあらかじめお願いさせて頂いた期間内の定期検診をお受けにならなかった場合
- 2.患者様ご自身の不注意・外傷が原因の場合
- 3.患者様ご自身の全身疾患(糖尿病等)が原因でインプラントに不具合が生じた場合
インプラントの寿命を伸ばすには
治療後にしっかり定期検診、メインテナンスを行うことで10年の残存率は90%と言われています。
ただ、セルフケアの状態、インプラントの長さ、咬み合わせの状態など個人差が大きくあるため一概に評価するのは難しいです。
また、インプラント周囲に食べかすや歯垢など汚れが停滞してしまうと、歯周病のように歯茎が赤く腫れあがり、インプラントを支えている骨を溶かしてしまいます。そして、最終的にはインプラントは抜けてしまいます。
インプラントを長くお使いいただくためには、歯磨きなどのセルフケアはもちろん、歯科医院での定期的な検診、メインテナンスが大切となります。
インプラントが難しいケース
重度歯周病
お口の中に歯周病原因菌が多数いる場合にはインプラント周囲炎のリスクが高くなります。
十分な骨が無い場合
インプラントを埋入する箇所の骨が大きく失われてしまっているケースでは難しいことがあります。
周囲の歯に炎症が
認められる場合
隣接する歯の周囲に炎症がある場合にはそちらの治療を優先する場合があります。
歯ぎしりくいしばりなど
かみ合わせに問題がある場合
インプラント部に過度な力が加わりすぎると寿命を短くしてしまいます。マウスピースなどで予防する必要があります。
重度喫煙者
喫煙により歯周病に罹患する可能性が高くなることと、血流が悪くなるため骨との生着が悪くなります。
その他・全身疾患で
インプラントが難しくなるケース
糖尿病 | 糖尿病は歯周病と関連があり、歯周病が進行しやすい疾患です。そのため、インプラント周囲炎を引き起こしやすくなってしまいます。 |
---|---|
代謝性骨疾患 (骨粗鬆症など) |
骨粗鬆症などに使用されている薬剤の中にインプラントに適していないお薬がありますので確認が必要です。 |
チタン アレルギー |
インプラントにはチタンが使用されています。 |
免疫不全疾患 | ステロイドを服用している場合には易感染性や骨への影響があります。 |
治療の流れ
インプラント治療の流れ
-
- 診察相談(約30分)
- カウンセリングや治療方針、治療費の説明をします。
-
- 精密検査(約20分)
- レントゲン、口腔内写真、歯の模型の作製をします。
-
- 治療計画の説明(約30分)
- 前回までの診断結果の報告と、これからの治療について説明します。
-
- インプラント治療の前処置
(必要に応じて) - 歯周病の治療や虫歯治療など残っている歯の治療をします。
- インプラント治療の前処置
-
- インプラントの埋込手術
(30分~1時間) - インプラントを骨の中に埋め込みます。
- インプラントの埋込手術
-
- インプラントと骨の結合安定期間
(6~24週間) - インプラントと骨がしっかり結合するまで約6~24週間待ちます。
※骨の状態などで期間が異なります。
- インプラントと骨の結合安定期間
-
- 安定期間後の2次処置(20分)
- 埋まっているインプラントの頭を出し、人工の歯を接続するアバットメントという土台を取り付けます。
-
- 人工歯の型取り・装着(30分)
- 人工歯の型を取り、歯並びや色をチェックしながら人工歯をつくります。人工歯が完成したら装着します。
-
- 治療後の定期チェック(約30分)
- 治療が終わった後はまず1週間後に定期検査をします。
その後はだいたい1ヶ月、3ヶ月、6ヶ月後に定期検査をします。
インプラント手術について

治療期間
患者様の口お口の中の状況によって異なりますが、インプラントを埋め込む手術をしてからおよそ4か月~1年かかります。
ただし、歯周病やそのほか前処置が必要な場合はプラスかかります。
手術にかかる時間
手術にかかる時間はおおよそ30分~2時間程度です。
ただ、インプラントを入れる場所や本数など条件によって異なります。また、術前は麻酔等の準備や感染予防のためのクリーニングなど手術以外に必要なことがありますので、余裕をもってのご来院お願い致します。
手術後の痛みや腫れについて
個人差はありますが、術後の痛みは痛み止めの薬で治まる程度です。
腫れや痛みは多少出ることはありますが、当日に鎮痛剤が必要ない方もいらっしゃいます。
手術には入院が必要?
ほとんどの場合、入院の必要はありません。
日帰りで、麻酔も基本的には虫歯などに行う麻酔と同じになります。
手術後の注意点
当日の手術部の積極的なハミガキは避け、その後は先生の指示に従って下さい。
感染予防のための抗生剤は指示に従って、必ず飲むようにして下さい。
食事に特に制限はありませんが、傷口に当たらないように召し上がって下さい。
術後2、3日は出血が続きますが、強いうがいをするとかさぶたが取れてしまい、治りが悪くなってしまうのでお気をつけ下さい。
激しい運動やお酒などを除けば、日常生活は普段通りで特に問題ありません。
インプラント治療後について
インプラント治療後は、基本的には3ヶ月に1度の検診・メインテナンスをお勧めしておりますが、その方の口腔内の状況によって異なります。
検診・メインテナンス時にはクリーニングやインプラント周囲のチェック、ブラッシング指導などを行います。また、なにか異常所見があればレントゲン撮影等でしっかり中まで確認致します。
治療後の注意点
定期検診によるメインテナンスが重要となります。
インプラントは虫歯にはなりませんが、歯周病にはなります。そのため、毎日のご自身でのセルフケアと、定期的に受けていただく歯科医院でのメインテナンスが大切となります。メインテナンスが不十分だと、インプラントが揺れてしまったり、周囲の歯茎が腫れて出血して来たり、進行してしまうと脱落してしまうケースもあります。
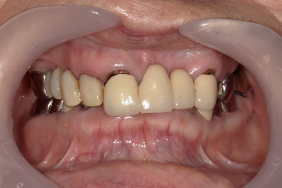
実際の症例
case 1.
治療前後の写真
治療前

治療後

主訴 | 歯がない所が気になる |
---|---|
治療期間 | 3ヶ月 |
治療内容 | インプラント |
case 2.
治療前

治療後

治療前

治療後

治療前

治療後

治療前

治療後

治療前

治療後

主訴 | 食べ物が咬みにくい |
---|---|
治療期間 | 1年弱 |
治療内容 | 咬合治療、根管治療、 インプラント、セラミック治療 |
インプラントのよくある質問
体に悪い影響はありません。
チタンでできているインプラントはからだになじみやすいため、拒絶反応を起こさないことが証明された材質です。体に悪い影響はありません。
入れ歯と比べるとしっかり噛めるようになり、ご自身の歯と変わりないくらいお食事はしやすくなります。
当院では世界中で広く利用されているメーカーの製品をおすすめしています。
世界中で100社を超えるインプラントメーカーがあるといわれていますが、その中でも、最も広く利用されているインプラントメーカーの製品を採用しています。
再治療は可能です。
かぶせ物がダメになったのか、インプラント本体がダメになったのかで対応は異なります。
上部構造とよばれるかぶせ物が何らかの原因で壊れてしまった場合は、その部分のみ作り替えをするだけで済みます。
しかし、インプラントが揺れて抜けてしまったなど、インプラント本体に問題が起こってしまった場合には、既存のインプラントを除去後、骨の再生を待ってから、再度インプラント手術を行います。また、当院では、他院で治療を受けたインプラントの調子が悪い場合や、痛みを感じる場合などの再治療にも対応していますので、お気軽にご相談ください。
インプラントに使われている純チタンは、金属イオンが溶け出さないという性質があるため、生体親和性が高く、アレルギーが起こりにくいと言われています。心配な方は、一度、金属アレルギー検査でチタンに対するアレルギー反応を調べてみることをおすすめします。ただし、チタンアレルギーの方は、チタンインプラントの治療は受けられません。
歯周病の方でもインプラント治療は可能です。
しかし、インプラント治療の前に、歯周病治療をしっかり行わないと成功率は低くなってしまいます。そのため、術前の歯周病治療など前処置が必要となります。
マウスピースなど歯ぎしりに対しての対策が必要となります。
インプラントは縦の力には強いのですが、歯ぎしりのような横からの力には弱く、強く力がかかった場合は破損してしまう恐れがあります。歯ぎしりがひどいような場合には、就寝時にマウスピースをして頂いた方がインプラントは長持ちします。
関連するページ

「インプラント治療の症例」を
詳しく見る
このページの著者
三軒茶屋マーレ歯科 院長
多田 海人 (ただ かいと)
所属学会・専門認定
- ・日本口腔外科学会 認定医 取得
- ・顎咬合学会 かみ合わせ認定医 取得
この度、三軒茶屋にて、三軒茶屋マーレ歯科を開院することとなりましたので、謹んでご挨拶申し上げます。
当院では『痛みの少ない丁寧な治療』『丁寧な説明を重視』しております。患者様はそれぞれ違う価値観を持ち、求めているものも違うため個人に合った最終ゴールがあるかと思います。
そのため当院では、様々な治療を提案させて頂き、メリットデメリットを理解して頂いた上で患者様に一番合った治療法を一緒に見つけて行きたいと思っております。また、お口のなかを虫歯だけ、歯周病だけというような部分的に見ていくのではなく包括的に診察することで、より健康的な口腔内環境を作っていきたいと考えております。
そして、院内では滅菌レベルを最高のものにすることで安心して清潔な治療を受けて頂ける環境作りをしております。なにかお困りなこと、気になること等ありましたらお気軽にご相談下さい。