ホワイトニングの症例
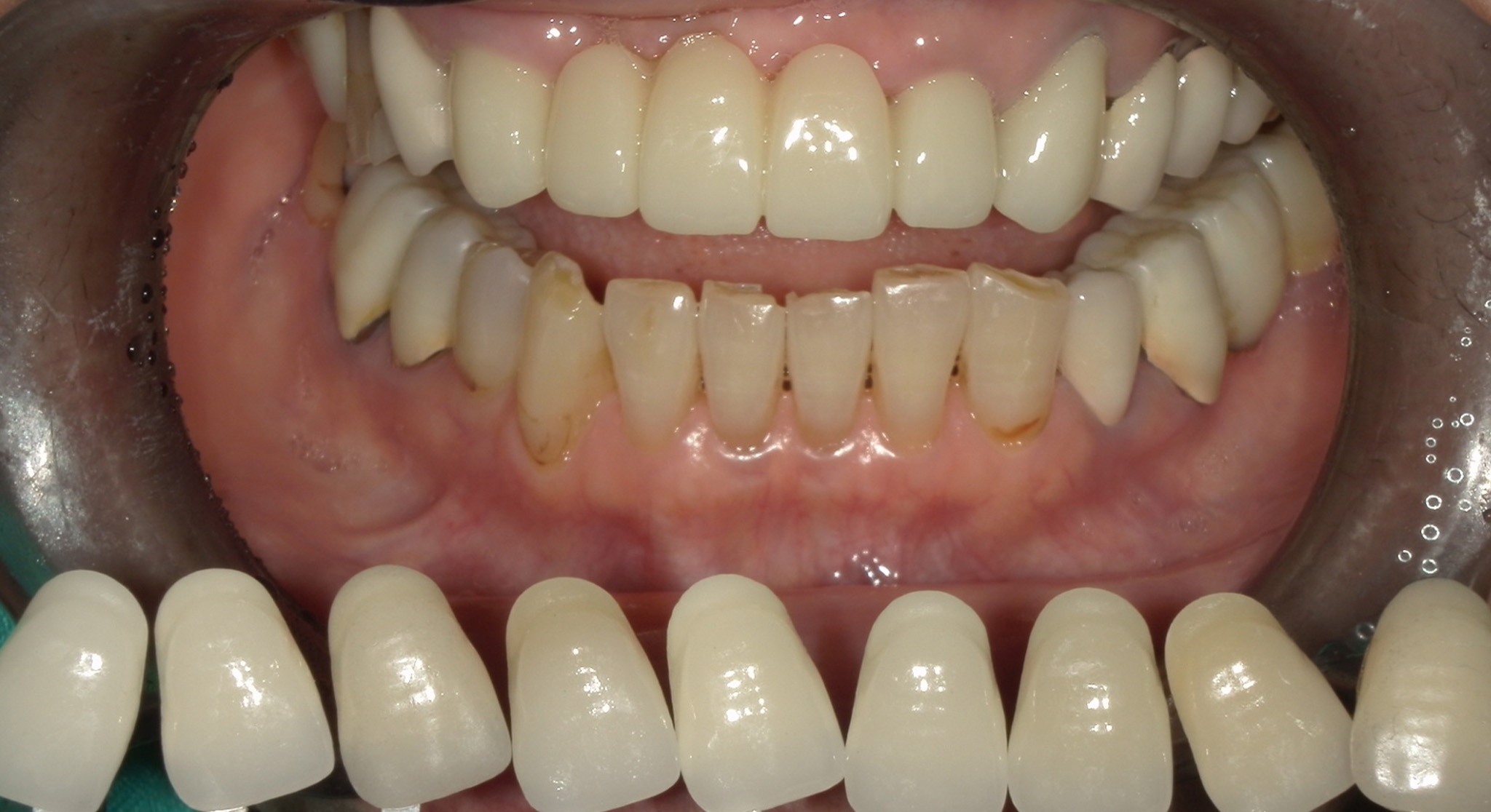
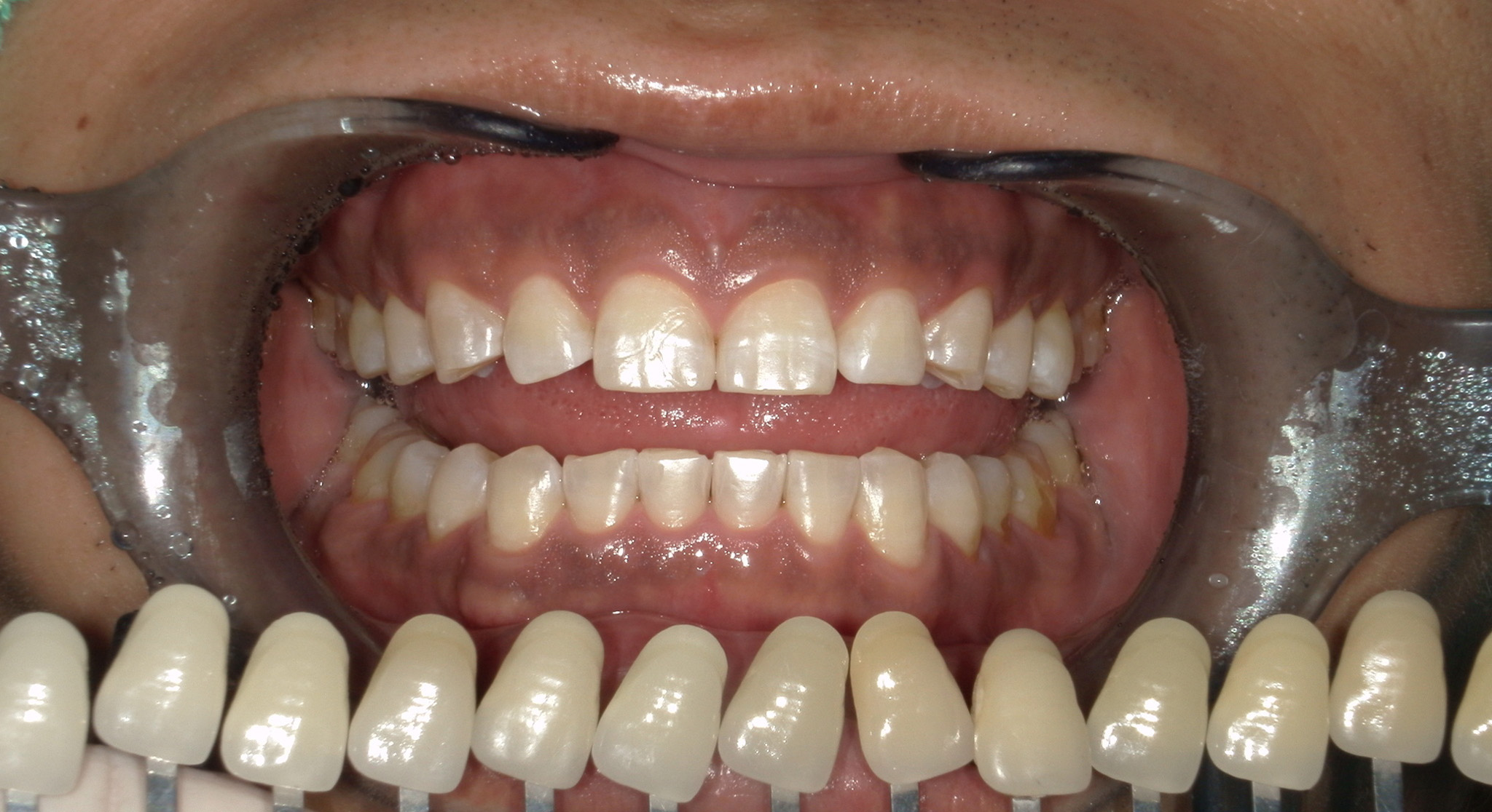
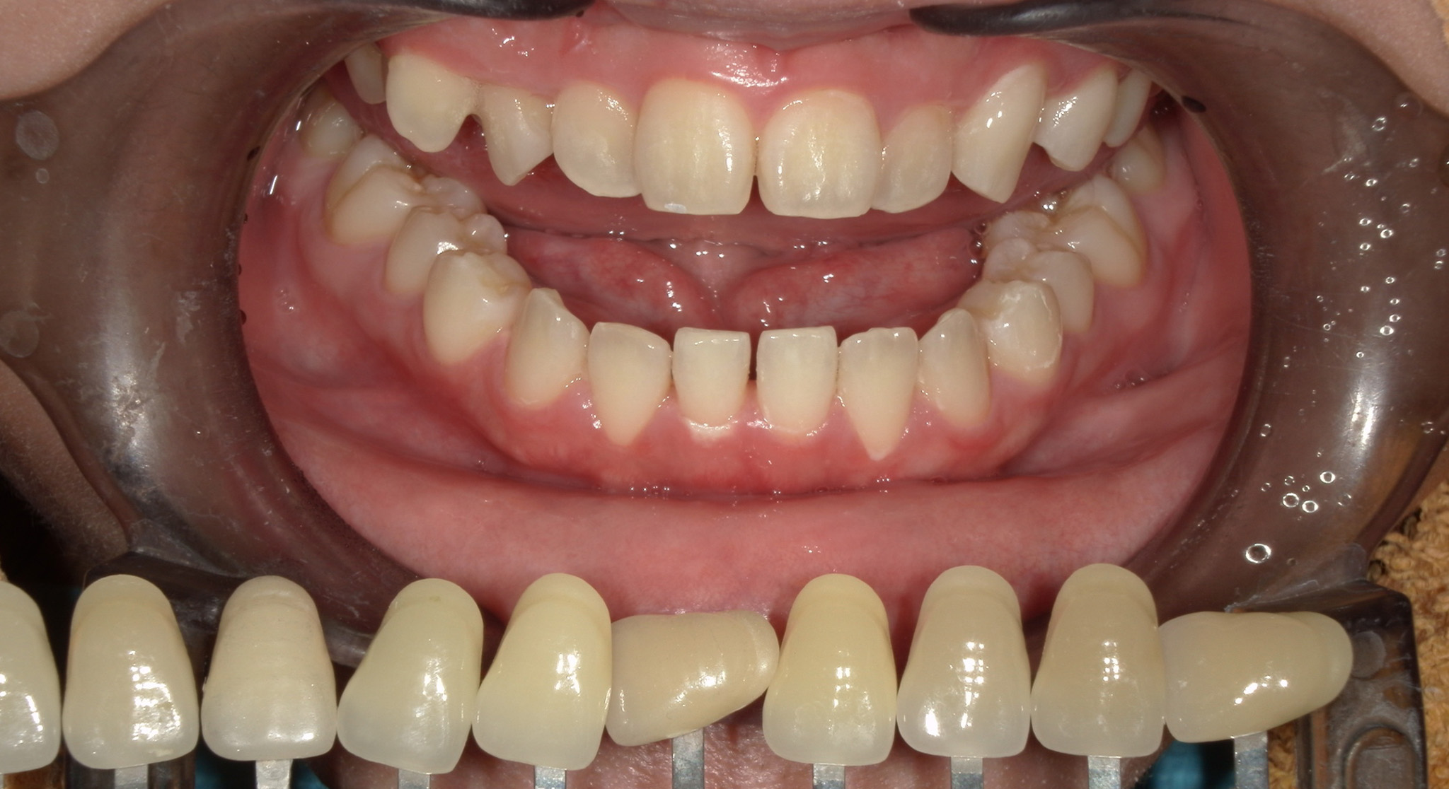
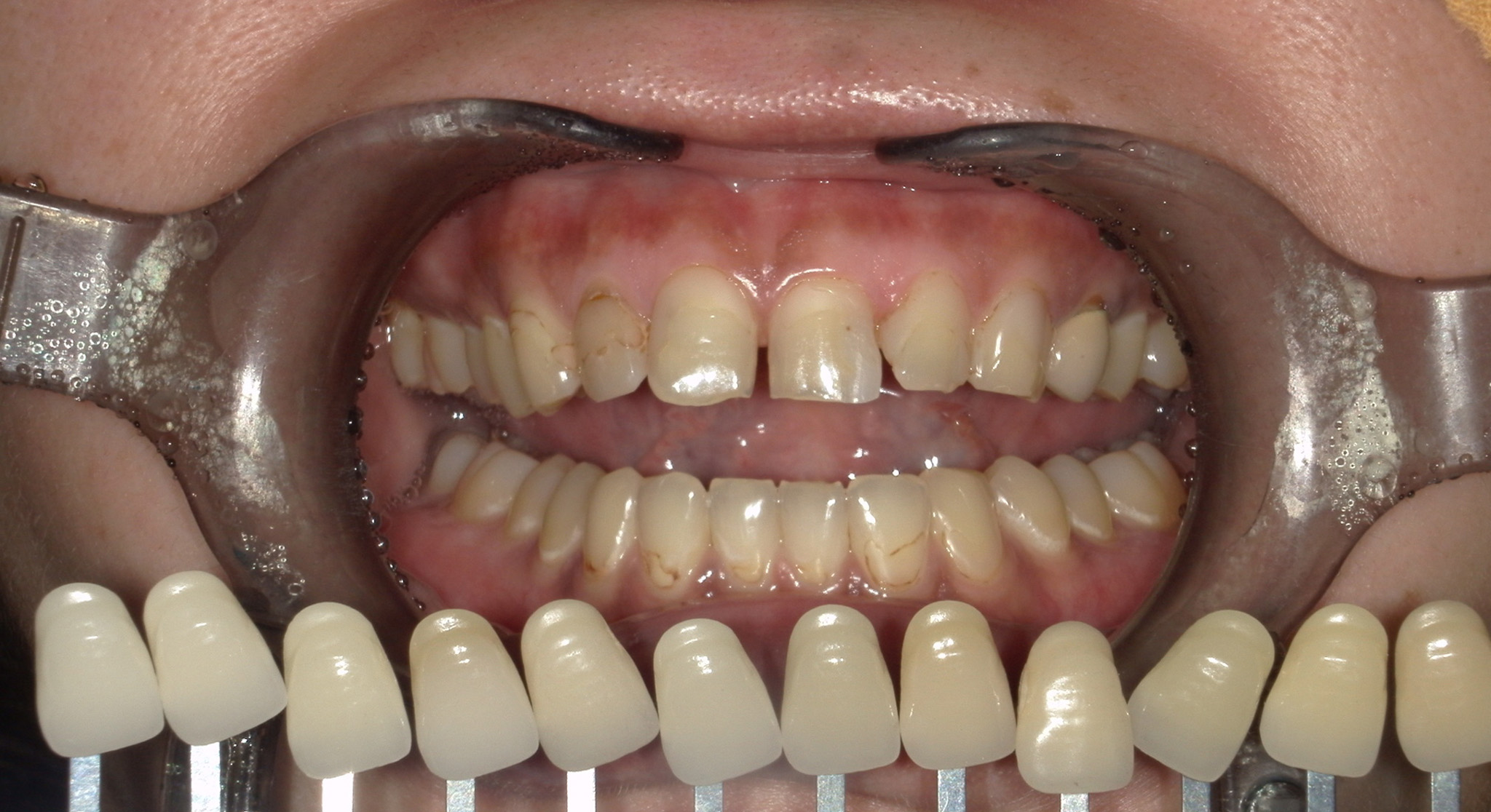
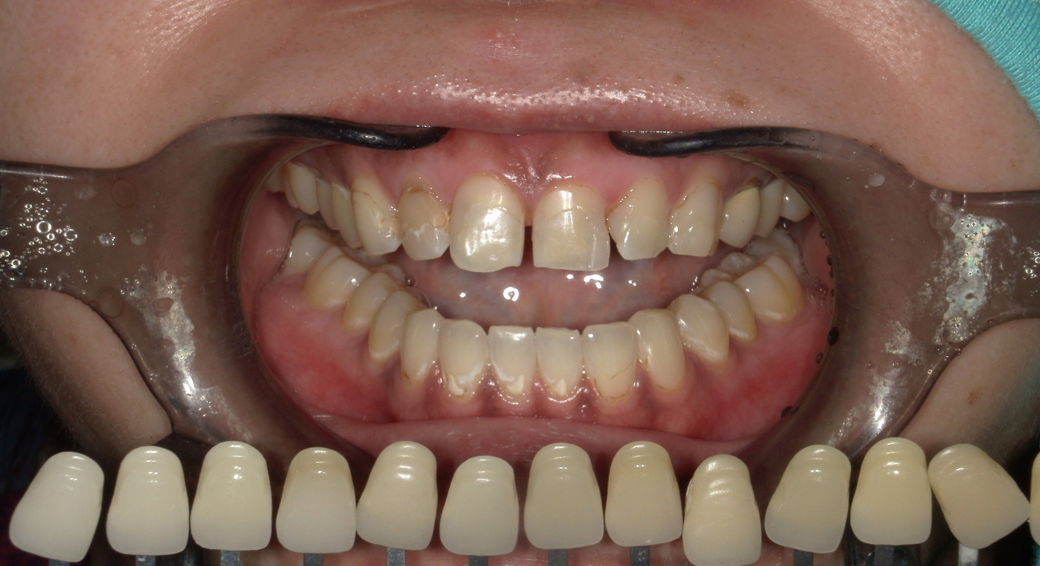
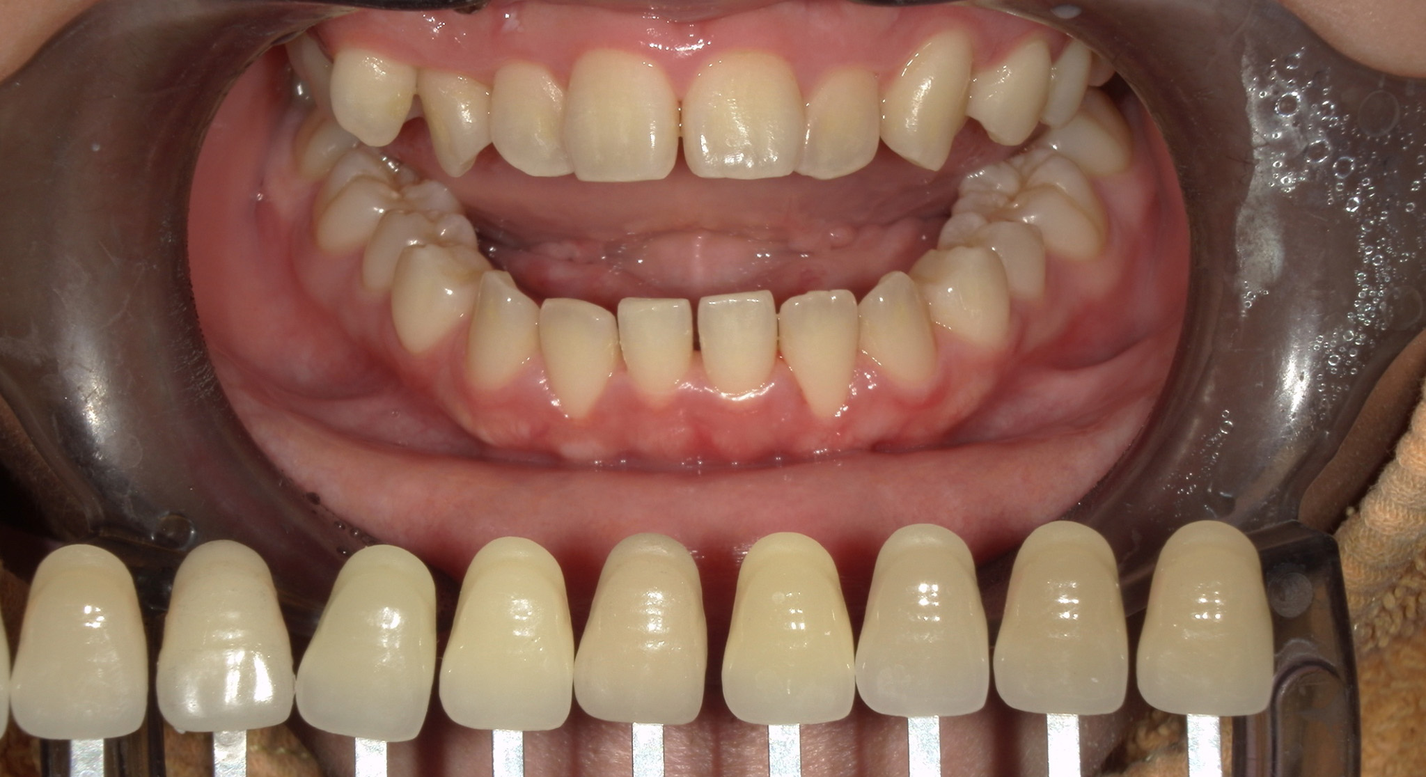
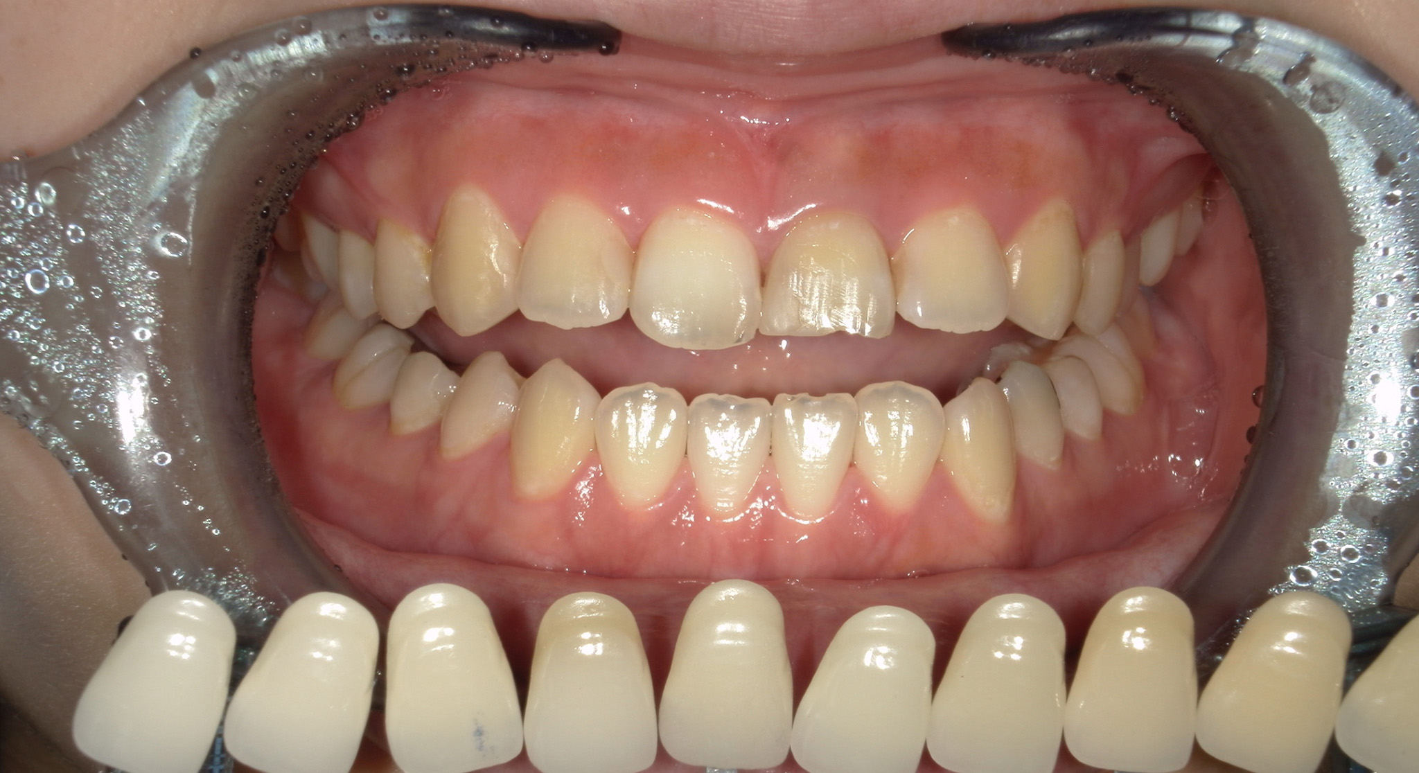
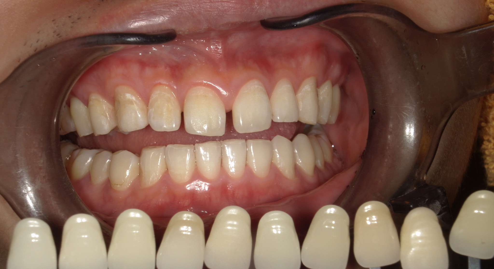
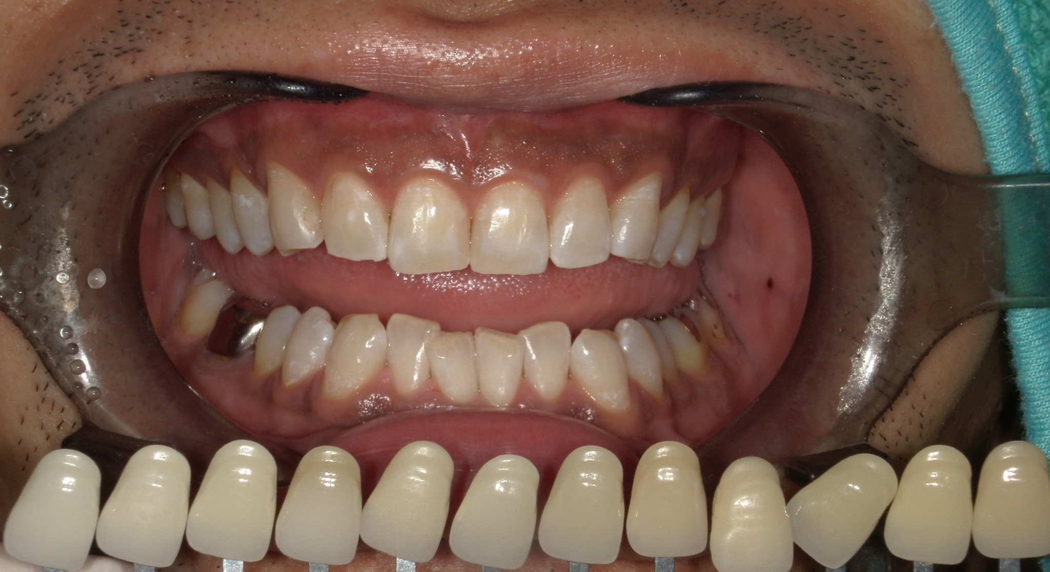
case 1.
術前

術後

主訴 | 歯を白くしたい |
---|---|
治療期間 | 1回 |
治療費 | 35,000円(税抜) |
治療内容 | オフィスホワイトニング |
治療の リスク |
知覚過敏 |
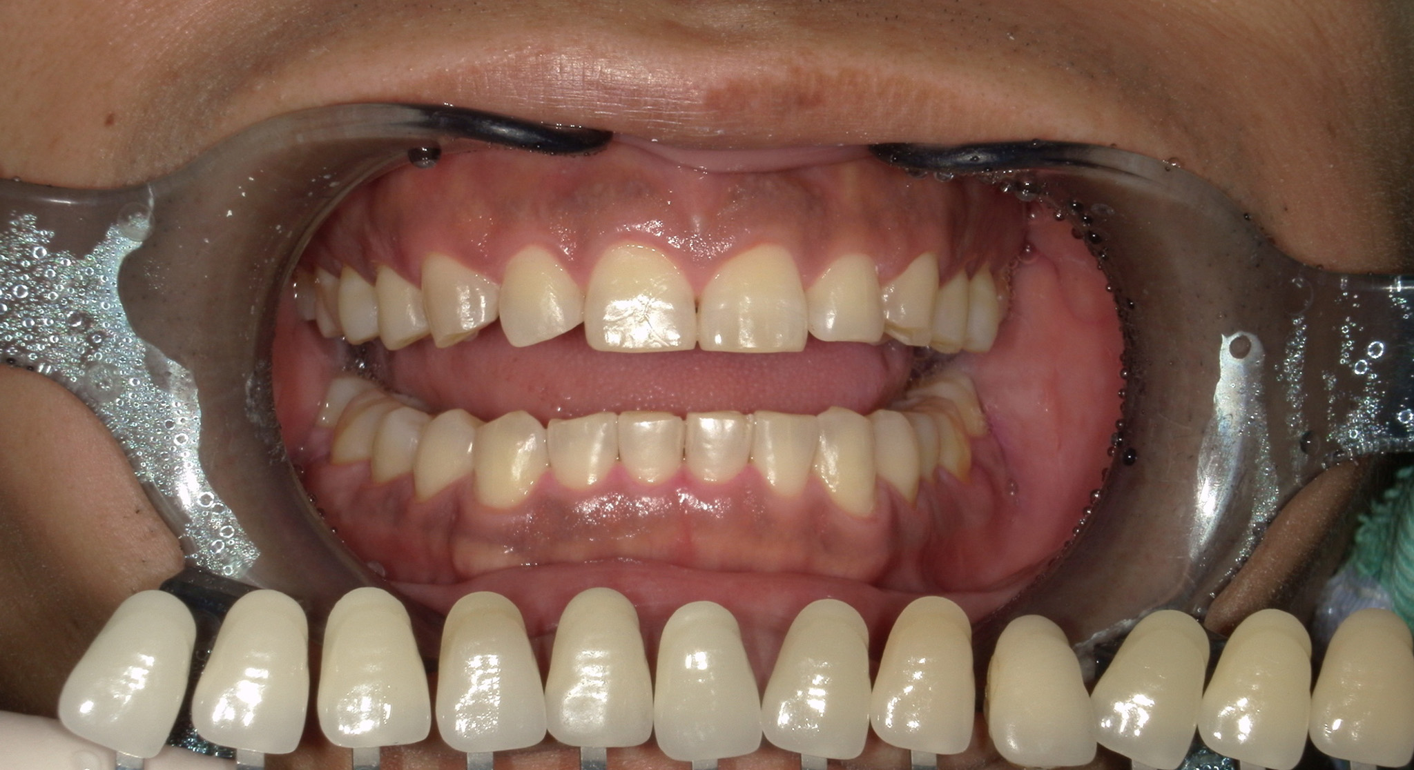
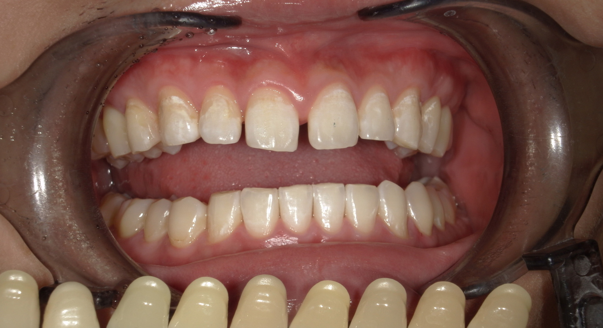
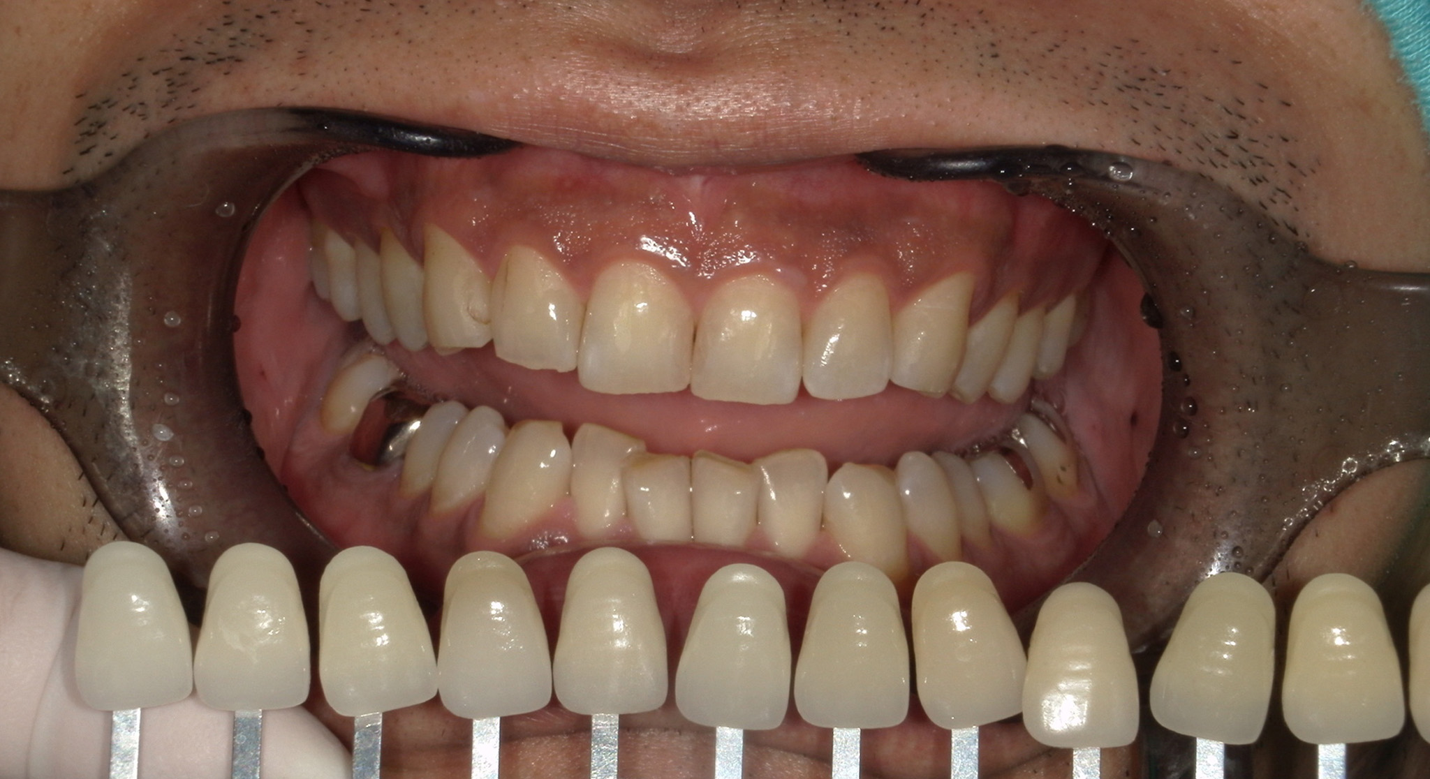
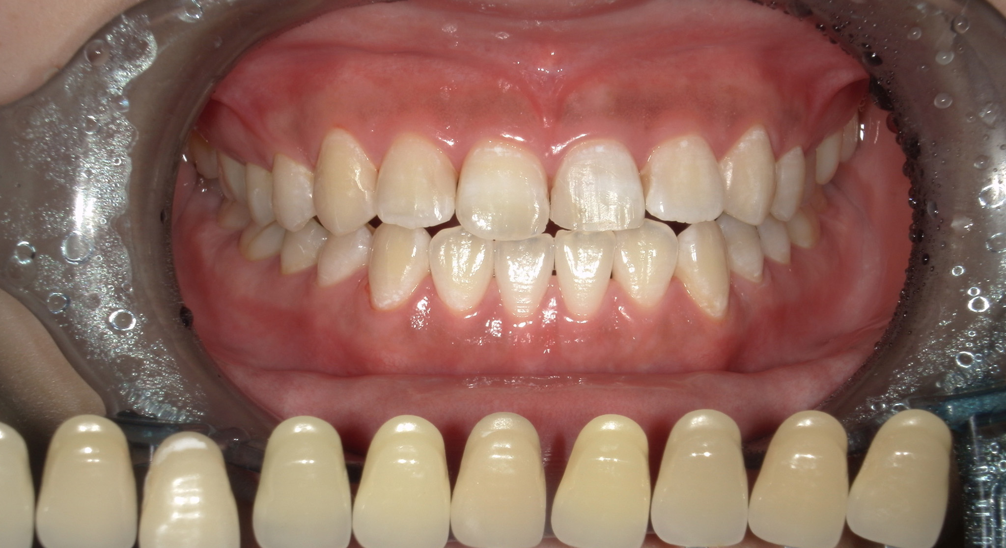
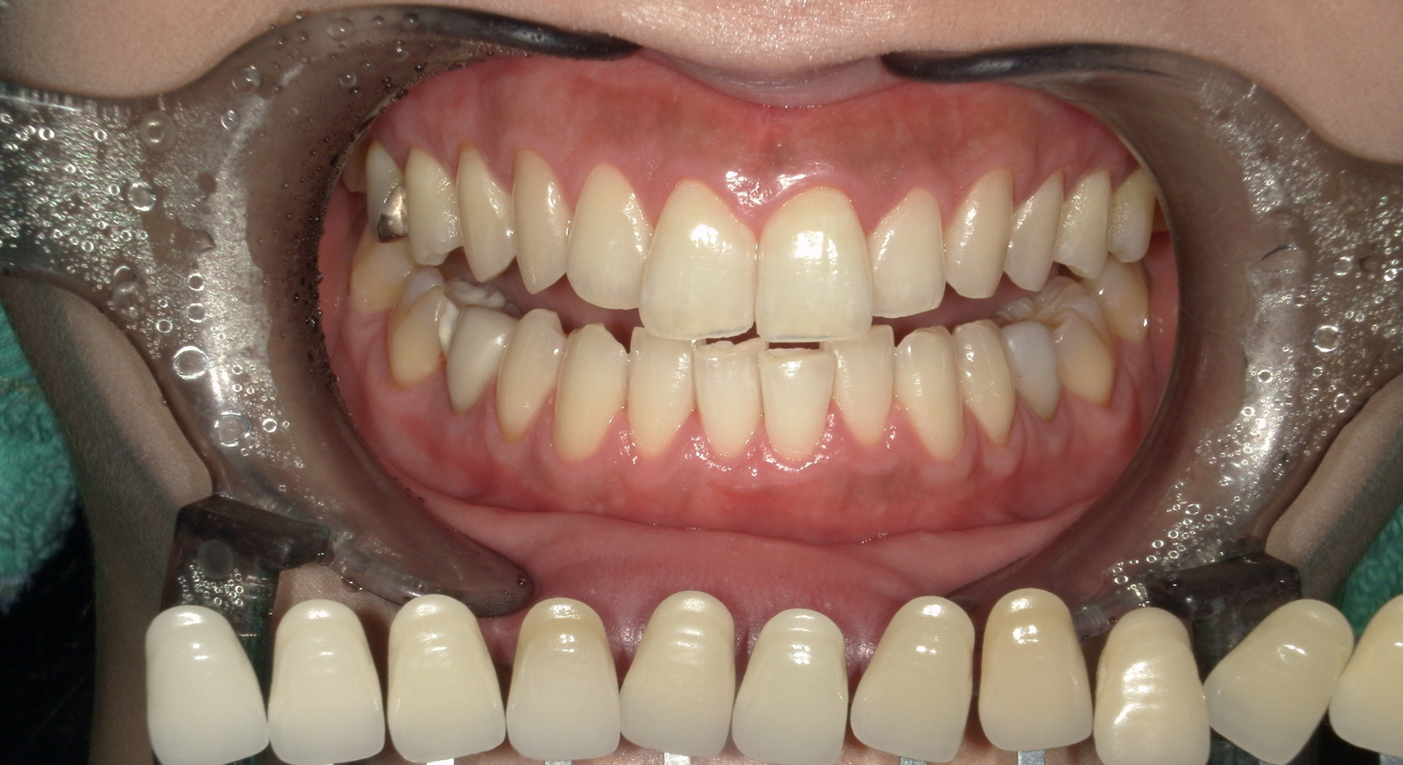
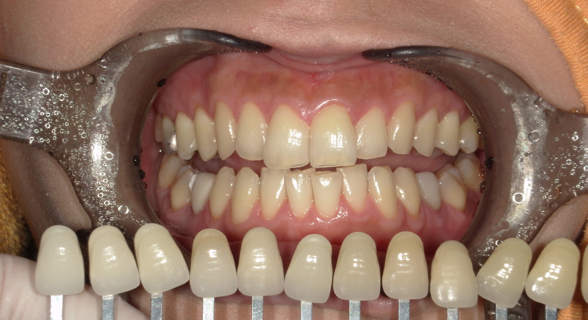
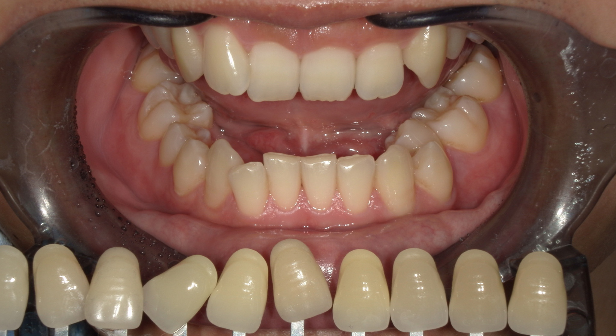
case 2.
術前

術後

主訴 | 歯を白くしたい |
---|---|
治療内容 | オフィスホワイトニング |
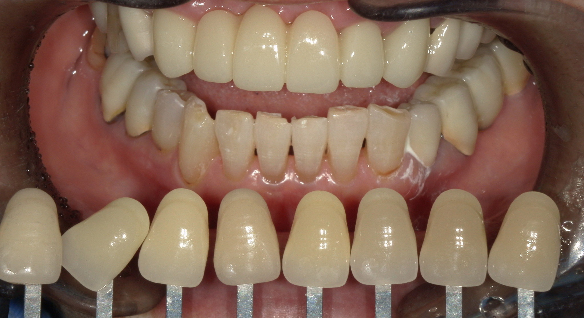
case 3.
治療前

治療後

主訴 | 歯の色が気になる |
---|---|
治療期間 | 1時間 |
治療内容 | オフィスホワイトニング |
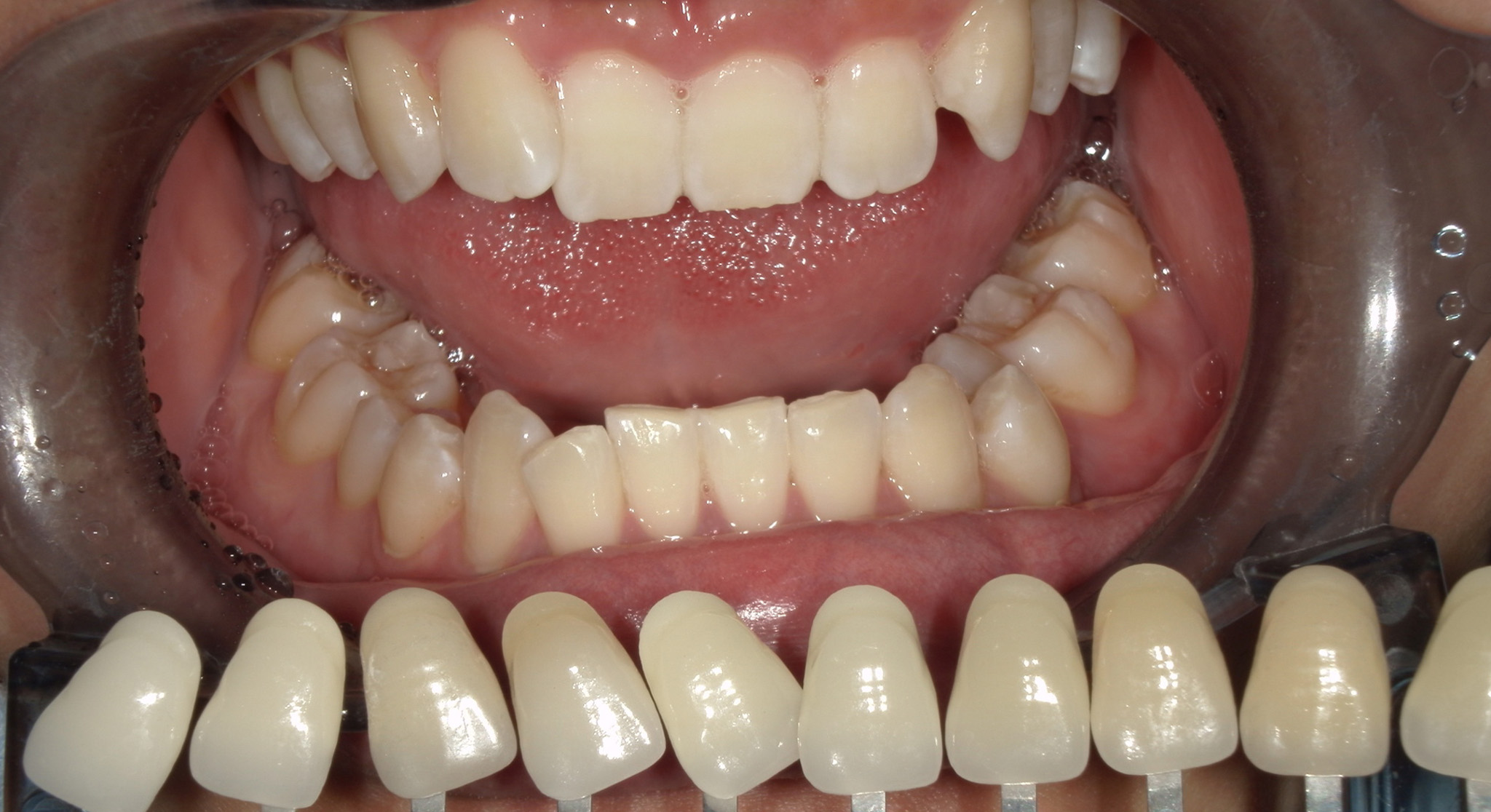
case 4.
治療前

治療後

主訴 | 歯の色が気になる |
---|---|
治療期間 | 1時間 |
治療内容 | オフィスホワイトニング |