部分矯正の症例
case 1.
治療前


矯正前の写真です。前歯にがたつきがあります。
治療中①


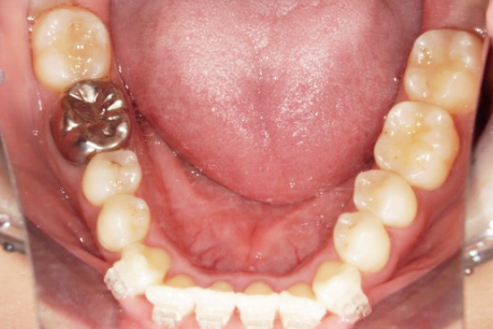
矯正装置をsetしました。こちらで様子をみていきます。
治療中②


装置除去前の写真です。術前に比べると歯が整ってきました。
治療後


術後の写真になります。後戻りしないように固定をします。
主訴 | 前歯が気になる |
---|---|
治療期間 | 約3ヶ月 |
治療費 | 25万(税抜) |
治療内容 | 部分矯正 |
治療の リスク |
治療中は清掃しにくいため 虫歯になりやすい |
case 2.
治療前

治療中

治療後

治療前

治療中

治療後

治療前

治療中

治療後

主訴 | 歯並びが気になる |
---|---|
治療期間 | 7ヶ月 |
治療費 | 50万(税抜) |
治療内容 | 部分矯正 |
治療の リスク |
治療中は清掃しにくいため 虫歯になりやすい |
case 3.
治療前

治療中

治療後


主訴 | かぶせ物の中で深くなってしまった虫歯を治したい |
---|---|
治療期間 | 約3ヶ月 |
治療費 | 5万(税抜) |
治療内容 | エクストリュージョン 深くなってしまった虫歯や割れてしまった歯など、本来抜かなければいけない歯を部分矯正によって、残すことができる。 |
治療の リスク |
歯が揺れてしまう可能性 |
case 4.
治療前

治療中

治療後

治療前

治療中

治療後

治療前

治療中

治療後

主訴 | 歯並びが気になる |
---|---|
治療期間 | 5ヶ月 |
治療内容 | 上下顎部分矯正 |